直肠癌术后盆腔局部复发125I粒子的应用
作者:赵慈宝,沈金贵,夏泽兵
[摘要] 目的 观察125I 放射微粒植入对直肠癌术后盆腔局部复发的效果。方法 对12例临床确诊直肠癌术后盆腔局部复发,在癌组织间植入125I放射微粒,每例平均36粒,术后复查B超、观察对照。结果 采用经尾骶部或经腹进入,部分切除盆腔复发肿块+125I粒子植入治疗方法,手术过程顺利,3个月后经B超及CT示肿块,会阴部、骶尾部胀痛以及阴茎龟头疼痛明显缓解,双侧输尿管扩张、肾盂积水消失及肾功能亦得到不同程度恢复。结论 125I 放射微粒植入方法,对直肠癌根治手术后盆腔局部复发无法再手术的患者,治疗安全性好、效果可靠。
[关键词] 直肠癌;术后;局部复发;放射性碘
125I in treatment of local recurrence of colorectal carcinoma in pelvic cavity post-operatively
[Abstract] Objective To observe effects of 125I particle on local recurrence of colorectal carcinoma post-operatively.Methods Twelve cases of recurrent colorectal carcinoma in pelvic cavity were under one 125I particle implanting,36 particles per case.B ultrasound was used to observe the curative efficacy.Transabdominal or transcaudal entry,partially resecting tumor+125I particle implanting were performed.Results Three months later,B ultrasound and CT were used to detect the tumor,swollen pain in perineum,glans and caudal were relieved,bilateral ureter were expanded and hydronephrosis was disappear,renal function restored partially.Conclusion 125I particle implanting plays a role in treatment of local recurrence of colorectal carcinoma post-operatively,especially for those intolerance of operation.
[Key words] colorectal carcinoma;postoperatiue period;local recurrence;125I
在我国直肠癌约占大肠癌的2/3左右,手术切除是直肠癌首选的治疗方法。直肠癌根治手术后盆腔、吻合口、会阴部等局部复发相当常见[1],局部复发率受诸多因素影响,一般在4%~51%,近来报道复发率多下降到10%以下[2]。局部复发的治疗非常困难,扩大再切除只适用于少数病人,手术风险大,疗效差。
我院自2003年5月~2005年6月收治直肠癌根治手术后盆腔、会阴部等局部复发患者27例,采用外照射加化疗15例,采用经尾骶部或经腹进入,部分切除盆腔复发肿块+输尿管移植+125I粒子植入治疗12例,近期随访疗效满意,现报告如下。
1 资料与方法
1.1 一般资料 本组采用经尾骶部或经腹进入,部分切除盆腔复发肿块+125I粒子植入治疗方法,共治疗直肠癌根治手术后盆腔局部复发12例,年龄42~58岁,中位年龄46岁。均施行了直肠癌经腹会阴切除术,病理诊断为低分化管状腺癌。术前按TNM分期,6例T4N1M0,2例T3N1M0,4例T2N1M0。本组患者术后2~3年不同程度出现会阴部、骶尾部胀痛以及阴茎龟头疼痛,经盆腔CT扫描显示:盆腔、骶骨前有肿块,约5~18cm不等,结合临床考虑为直肠癌术后,局部复发。其中2例病人因局部复发,1年前在外院做过外放疗,照射剂量100~120Gy。6个月后因肿瘤压迫膀胱造成双侧输尿管出口受阻,导致双侧输尿管扩张,肾盂积水,肾功能下降入院,随后实施部分切除盆腔复发肿块+双侧输尿管移植+125I粒子植入治疗。
1.2 治疗原理和方法 传统的放射治疗(外放射)技术是对癌组织进行高强度的放射线照射,周围的正常组织不可避免地受到不同程度的损伤。目前一些新技术如适形、强调放疗技术的开展,使在对肿瘤组织剂量提高的同时,可减少其正常的受量成为可能。放射性粒子的植入治疗方法,是根据肿瘤的形态大小,经三维立体定向(TPS)计划系统精确而决定放射粒子的剂量及粒子的分布,而且由于放射性粒子强度衰减与距离平方成反比,故其对周围组织的损伤较小,较好地保护了正常组织,因此也是一种适形放疗。
125I是一种放射性核素,它在衰变过程中发射射线的同时,也通过俘获(EC)和内转换(IC)产生俄歇电子,俄歇电子是低能电子,其能量低于1KeV,组织内最大射程(Rmax)=60nm,平均射程(Reve)=20nm,半衰期(T1/2)=60.2天。俄歇电子与分子的作用结果是导致分子出现断裂点,DNA分子破坏超过其修复能力时,细胞DNA复制终止,进而导致细胞死亡。由于其能量低,即便是局部高剂量也比外照射给予膀胱的剂量低,本组病例无发生尿失禁及放射性膀胱炎。
本治疗组10例采用经尾骶部切除尾骨进入盆腔,切除部分肿块,在紧贴骶骨前残留的肿块组织内按平方距离及厚度植入125I粒子。2例病人因肿块压迫膀胱后壁导致输尿管下段梗阻,严重肾盂积水,肾功能下降,我们采用经腹进入,切除部分肿块,在残留的肿块组织内植入125I粒子,并将双侧输尿管进行移植。术后随访病人恢复情况良好,肾功能亦恢复正常。
1.3 纳入范围及分组 见表1。
1.4 排除范围 (1)治疗组2例病人因局部复发,1年前在外院做过外放疗,照射剂量100~120Gy。6个月后因肿瘤压迫膀胱造成双侧输尿管出口受阻,导致双侧输尿管扩张、肾盂积水、肾功能下降入院,随后实施进腹部分切除盆腔复发肿块+双侧输尿管移植+125I粒子植入治疗予以排除。(2)外照射+化疗组患者明确有肝、肺转移的患者3例,从临床分期及治疗方式在分组上有显著差异,因此予以排除。
表1 纳入范围及分组

2 结果
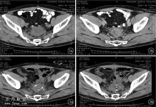
本组患者采用经尾骶部或经腹进入,部分切除盆腔复发肿块+输尿管移植+125I粒子植入方法,共治疗直肠癌根治手术后盆腔局部复发12例。无一例发生意外,除2例输尿管移植病人术后出现少量血尿并轻微尿路刺激症状,对症处理后很快消失。临床症状均出现不同程度地缓解及消失,B超显示输尿管扩张及肾盂积水明显改善,CT示盆腔肿块显著缩小(见图1、2)。不同治疗方法病人在盆腔肿块体积缩小方面进行比较(表2),并分析如下。

图1 CT示直肠癌术后盆腔转移
图2 部分切除盆腔复发肿块+125I粒子植入后
表2 直肠癌根治术后盆腔复发肿块治疗前后体积缩小幅度均值比较 (cm)

3 讨论
直肠癌根治术后的复发率报道不一,在Ⅱ期病人术后复发率可达20%~40%,在Ⅲ期病人则可高达40%~70%[3]。直肠癌的局部复发常伴随骨盆区的疼痛,患者生活质量明显低下,对此实施放射线照射为主的姑息性治疗,镇痛效果在40%~50%Gy的照射剂量,有50%~80%的病例可获得缓解,肿瘤完全消失极为罕见,5年生存率通常不及10%[4]。Hoskins报道术后放疗病人5年生存率比单纯手术有明显提高,Dukes B、C期病人单纯手术后5年生存率为44%和23%,而术后放疗组则为76%、52%。Tepper 报道单纯手术组的5年生存期在B2期为27%,C3期为0,而术后放疗组中B2期5年生存期为76%、B3和C1期为69%,C2期为34%,C3期为13%。术后放疗(C3期除外)可使局部复发率减少一半以上[5],Salo报道复发者的切除率为79%,5年生存率可达31%,对有选择的病人还可获得良好的长期生存率[6]。
我们采用部分切除盆腔复发肿块+输尿管移植+125I粒子植入治疗方法,给病人的治疗增加了一种新的途径,Wiggers认为手术加放疗可获得良好的姑息治疗效果甚至可能治愈[7]。此方法的实施减少了外放疗所带来的并发症,照射剂量小,局部效果好。放射性粒子植入治疗模式更符合肿瘤放射生物学的要求,不同细胞周期的癌细胞对放射线的敏感性不同,M期和G2期细胞对放射较敏感,而静止或G1、S期癌细胞则不敏感,而在癌组织中植入125I粒子后,能在较长时间内(半衰期2个月)对癌细胞进行持续近距离照射,不同分裂期的癌细胞一旦进入M期和G2期即受到γ射线的持续照射而被杀死。
放射治疗直肠癌作为辅助方法,能够延长病人的生存期在国内外医学界已经达成共识。对直肠癌根治术后盆腔局部复采用部分切除盆腔复发肿块+输尿管移植+125I粒子植入治疗方法,目前尚未见临床报道。我们相信该方法的应用有益于病人生命周期的延长,值得临床推广。虽然随访的时间有限,但近期疗效肯定。
[]
1 汤钊猷.肿瘤学,第2版.上海:上海医科大学出版社,2000,801-802.
2 McLood RS.Symposium on rectal cancer:local recurrence after surgery for rectal cancer.Can J.Sury,1997,40(5):353.
3 Reynolds Joyce WP,Dolan J,et al.Pathological evidence in support of total mesorectal vxcision in the management of rectal cancer.Br J Surg,1996,83:1112.
4 李世荣.大肠癌—早期诊断、治疗和预防.北京:技术出版社,2000,275-276.
5 Tepper JE,Cohen AM,Wood RW,et al.Postoperative radiathion therapy of rectal.Int J Radiat Oncol Biol Phys,1987,13:5.
6 Salo JC,Paty PB,Guillen J,et al.Surgical Salvage of recurrent rectal cacinoma after curative resection:a 10-year experience.Am Sury Oncol,1999,6(2):131.
7 Wiggers T,De Vrie MR,Veeze-ypers B.Surgery for local recurrence of rectal cancer.Dig Sury,2000,17(suppl 1):82.











