锁孔技术切除颅内深部肿瘤182例
作者:薛洪利,于春泳,王丹玲,赵丽萍,曲虹,魏学忠
【摘要】 目的 通过182例颅内深部肿瘤的,锁孔技术在神经外科颅内深部肿瘤应用的经验。方法 采用锁孔技术显微手术切除桥脑小脑角及小脑肿瘤、岩斜区肿瘤、前颅窝脑膜瘤、鞍区肿瘤、镰幕区脑膜瘤和在导航指引下显微手术切除脑内深部胶质瘤。结果 182例中无1例死亡,全切肿瘤149例,次全切除21例,大部切除12例。结论 锁孔(微骨孔)技术是治疗颅内深部肿瘤的良好方法,具有损伤少、恢复快等优点。
【关键词】 颅内肿瘤;锁孔技术;显微外科
自1997年以来,我们共行锁孔(微骨孔)技术治疗颅内深部肿瘤182例,效果满意,报告如下。
1 一般资料
本组182例,男89例,女93例;年龄7~78岁,平均46.2岁。脑桥小脑角肿瘤78例(其中听神经瘤60例,脑膜瘤10例,三叉神经纤维瘤3例,胆脂瘤4例,右舌下神经纤维瘤1例);垂体腺瘤29例;岩斜区肿瘤10例(其中脑膜瘤9例,胆脂瘤1例);小脑幕脑膜瘤5例,大脑镰旁脑膜瘤3例,镰幕区脑膜瘤1例,双侧颅前窝底脑膜瘤9例,侧脑室脑膜瘤1例,前床突及鞍隔脑膜瘤6例,右颞部脑膜瘤1例;鞍区生殖细胞瘤1例;基底节区星形细胞瘤5例,侧脑室室管膜瘤5例,脑桥星形细胞瘤5例,胼胝体-右额叶胶质瘤3例,顶叶胶质瘤2例和顶叶海绵状血管瘤1例;第三脑室前部颅咽管瘤7例;小脑肿瘤9例(转移瘤3例、星形细胞瘤3例、血管母细胞瘤2例和海绵状血管瘤1例),小脑上蚓部血管母细胞瘤1例。肿瘤最大直径12.0cm。全部肿瘤均经病理证实,本组全切肿瘤149例,次全切除21例,大部切除12例,全组无一例死亡。
2 手术技术及结果
2.1 经乙状窦后或改良的乙状窦前入路切除桥脑小脑角和岩斜区病变 我们最早是在治疗桥脑小脑角肿瘤时采用锁孔技术,共治疗肿瘤直径≥4cm的巨大听神经瘤60例,桥脑小脑角脑膜瘤10例,三叉神经纤维瘤3例(全切)和胆脂瘤4例(全切1例,次全切除3例),右舌下神经纤维瘤1例(次全切除),桥脑星形细胞瘤5例(全切4例,次全切除1例)。除1例听神经瘤经乙状窦前入路切除肿瘤外,其余均经乙状窦后入路切除;60例巨大听神经瘤中59例经乙状窦后入路,1例经改良的乙状窦前入路切除肿瘤。全切54例,次全切除6例;除3例复发肿瘤外,解剖保留面神经55例(55/57,占96.5%),保留面神经功能50例(50/55,占90.9%);保留3例(3/57,占5.3%,均经脑干诱发电位证实)。10例桥脑小脑角脑膜瘤全切除9例,1例大部切除。岩斜区肿瘤10例,其中脑膜瘤9例,胆脂瘤1例;5例脑膜瘤经乙状窦后入路,4例脑膜瘤和1例胆脂瘤经改良的乙状窦前入路,即在乙状窦前和岩上窦下方弧形切开硬膜1.5cm,在小脑幕下和岩骨后进入,抬起小脑,撕开蛛网膜放出脑脊液,脑塌陷后就可见到肿瘤。10例中全切肿瘤7例,次全切除肿瘤3例。
2.2 经纵裂入路切除颅内深部病变 经顶纵裂入路切除大脑镰旁脑膜瘤3例和在导航指引下镰幕区脑膜瘤1例,切除顶叶胶质瘤2例和顶叶海绵状血管瘤1例;经额纵裂入路切除胼胝体-右额叶胶质瘤3例,经中线弧形皮肤切口,作一4.0cm×2.0cm骨窗,牵开脑叶,在手术显微镜下将肿瘤全部切除。同法经纵裂-终板入路大部切除第三脑室前部颅咽管瘤1例和全切除1例。在设计此入路时注意根据头MRI避开上引流静脉,以利入路宽敞。
2.3 经额部切口治疗前颅窝底、鞍区肿瘤及第三脑室前部颅咽管瘤 经右额部眉上或眉间上切口切除双侧颅前窝底脑膜瘤9例(全切除);前床突及鞍隔脑膜瘤6例,鞍区生殖细胞瘤1例(全切除5例、次全切除和大部切除各1例);垂体腺瘤29例(全切除22例,次全切除7例);第三脑室前部颅咽管瘤5例(其中经翼点入路3例,全切除4例,次全切除1例)。肿瘤最大直径8cm。于右侧眉上或眉间上沿额纹作一6cm直切口和一4.0cm×2.0cm骨窗,抬起额叶,对脑膜瘤是在离颅底骨大约0.5cm的肿瘤处电凝切断肿瘤,边电凝,边大块切除肿瘤,待肿瘤完全切除后,再电凝切除残留的肿瘤基底部分,以减少出血。对鞍区肿瘤与传统的经额下入路无异,鞍内垂体瘤则用弯头刮匙刮除。术中对鞍区解剖观察十分清楚。
2.4 在导航指引下切除脑内深部病变 5例基底节区肿瘤和6例侧脑室肿瘤,均是在导航指引下,于肿瘤侧成弧形皮肤切口,颅骨成3cm×3cm的骨窗,电凝切开皮质,在手术显微镜下分块切除肿瘤,全切除10例,大部切除1例。导航在术前对肿瘤的定位十分准确。术中由于肿瘤的切除和脑脊液的流出,术中定位往往不准。
2.5 经枕下弧形和旁正中切口切除小脑幕脑膜瘤和小脑肿瘤 5例小脑幕脑膜瘤根据肿瘤的部位不同采用经中线和经耳后弧形皮肤弧形切口,长7~8cm,骨窗为3.0cm×3.0cm,5例肿瘤全部切除。9例小脑肿瘤经枕下旁正中切口切除小脑肿瘤,于肿瘤侧皮肤直切口,长7cm,颅内成2.0cm×3.0cm或3.0cm×3.0cm的骨窗,在手术显微镜下分块全部切除肿瘤,肿瘤直径4~6cm。1例上蚓部血管母细胞瘤经枕小脑幕全切除。
182例手术无一例死亡,全切肿瘤149例,次全切除21例,大部切除12例。术后因肿瘤巨大发生异位硬膜外血肿和硬膜下血肿各1例,均经再次手术治愈,无其他重要手术并发症。
3 讨论
锁孔(微骨孔)技术是微创神经外科的标志[1],它的优点是医源性损伤小,开颅范围小,减少对正常脑组织的暴露和干扰;利用颅内正常解剖间隙,减少对脑的牵拉;手术损伤小,减少了术后并发症(癫痫、出血等),减少手术用血,术后恢复快,费用少;皮肤切口小,保持了患者的容貌。术后反应轻,手术效果好[1~3]。Wilson是在1971年最早提出锁孔(微骨孔)技术的概念,他认为锁孔(微骨孔)技术可以满足显微神经外科手术的需要。由于其切口小,对一些出血凶猛的肿瘤和血管畸形、脑表面的较大病变不宜采用。
锁孔(微骨孔)一般头皮切口为直切口或弧形切口长5~7cm,骨窗直径一般3cm。要求手术者:(1)必须有熟练的显微神经外科技术;(2)必须有良好的照明设备的手术显微镜;(3)导航和神经内镜;(4)其他:头架,自动前开器,高速磨钻等。目前主要应用于[2]:(1)额部切口治疗前颅窝底及鞍区肿瘤,夹闭大脑前动脉和前动脉动脉瘤;(2)翼点入路夹闭颈内动脉-后交通动脉动脉瘤和大脑中动脉动脉瘤;(3)经纵裂入路切除颅内深部病变;(4)枕后入路切除桥脑小脑角、岩斜区和小脑病变;(5)在导航指引下切除脑内深部病变。
本组患者,我们采用了锁孔的概念,以达到微创和最佳的手术效果[4]为目的,没有对所有病例采用皮肤直切口和骨窗圆形切口,而是根据病变部位和其解剖特点采用不同的切口。
本组病例在经一侧额、翼点入路主要是考虑少影响患者的容貌。其皮肤直切口内端不达中线,可以减少矢状窦和额窦的损伤;其外端超过额骨颧突有利于撕开外侧裂池蛛网膜放出脑脊液和取得颞肌修补额窦。而在纵裂和颅后窝均采用弧形皮肤切口,使骨膜和肌肉切口位于皮瓣中间,这样的切口较直切口更有利于愈合和抗感染。
颅骨切口,在颅后窝采用圆形或椭圆形骨窗,因为这符合该部位的解剖特点,在乙状窦后入路,圆形骨窗的上缘有利于显露部分乙状窦和横窦;在改良的乙状窦前入路,圆形骨窗的内侧缘有利于显露横窦和岩上窦,外下侧有利于显露乙状窦。
经纵裂和经额的入路,均采用长方形骨窗,笔者在手术中体会到宽2cm的骨窗完全可达到抬起脑叶和显露病变的要求,长4cm的骨窗较圆形切口更容易显露颅底病变和避开上引流静脉,十分有利于术中手术器械的进出和光线照明,术野非常清晰。
对于脑实质内的肿瘤是否用锁孔手术,万氏[5]认为不宜采用。在笔者所行的31例脑胶质瘤、海绵状血管瘤和转移瘤手术中,采用弧形皮肤切口和3.0cm×3.0cm的骨窗,完全切除这些部位肿瘤,包括脑室内直径12cm的室管膜瘤。体会到锁孔手术切除脑内深部肿瘤除了具有其手术优点外,由于切口小限制了对脑组织的牵拉,减轻了脑水肿,避免了常规开颅可能的去骨瓣减压。
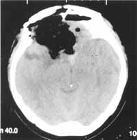
锁孔手术应注意其适应证的掌握,肿瘤的大小不是手术的绝对适应证或禁忌证,决定是否采用小切口技术主要是看肿瘤的血液供应情况[5]。本组切除的肿瘤最大径达12cm,其中有脑膜瘤(最大径8cm,见图1、图2)、听神经瘤和胶质瘤,只要肿瘤供血不是十分丰富,手术可以顺利完成。

图1 颅前窝脑膜瘤术前CT,肿瘤直径8cm

图2 经额锁孔手术完全切除肿瘤后7天CT,肿瘤完全消失
通过182例肿瘤锁孔手术,笔者体会到,由于锁孔手术损伤少,恢复快,效果好[1~5],随着手术照明的改善,其适应范围会越来越广,必将成为颅内深部病变的主要手术方法。
【】
1 赵继宗,张茂植,杨俊,等.微创手术在神经外科中应用价值研究.中华神经外科疾病研究杂志,2002,1(1):10.
2 赵继宗,倪明.微创手术脑深部病变.中华神经外科疾病研究杂志,2002,1(4):293.
3 Paladino J,Pirker N,Stimac D,et al.Eyebrow keyhole approach in vascular neurosurgery.Minim invasive Neurosurg,1998,41(4):200-203.
4 郭华,刘执玉,栾立明,等.经眉弓切口锁孔手术切除鞍区病变的解剖及临床应用研究.临床解剖学杂志,2003,21(3):281.
5 万经海,李长元,李汉杰,等.锁孔手术切除颅内肿瘤.中国微侵袭神经外科杂志,2003,8(4):19.











