SARS患者胸部影像动态改变特征分析
来源:岁月联盟
时间:2010-07-14
【关键词】 SARS;X线;肺
Chest image feature and mobile changes of 86 SARS cases
XI Jia-ning,ZHANG Xue-xiao.Aerospace Center Hospital,Beijing 100039,China
【Abstract】 Objective To observe the chest image features and mobile changes of SARS cases.Methods To observe the chest image features in the different time of the disease stages of 86 clinical diagnosed SARS cases hospitalized during 27,March to 27,May 2003. Results In most cases (73.3%),the chest X-ray changes appeared in the 4th~7th day. At the early stage,most patient’s X-ray showed mottling shadow in one side (61.6%) or both sides (38.4%) of the lung. The most severe stage of the disease in most cases (74.4%) occurred on the 8th~14th day. The X-ray appearance in this stage showed progressing uni- or bilateral patchy shadows in most cases (81.4%) and in some cases the changes was migrating. The X-ray changes were usually seen in the middle or lower lung field in 73 cases (84.9%). In majority cases (51.39%),the X-ray changes disappeared in the 15th~21st day. CT had been proved to be more sensitive in finding the changes.Conclusion The X-ray changes of SARS cases are different in different stage. Notification of the changing X-ray appearances of the patients is very important in guiding the treatment of the disease.
【Key words】 SARS; X-ray;lung
传染性非典型性肺炎从2002年底在我国广东开始出现,以后几个月逐渐蔓延,到世界范围内的流行,特别是2003年4~5月北京成为其爆发流行的重灾区。2003年3月WHO将其命名为严重急性呼吸综合征(severe acute respiratory syndrome,SARS)/[1/]。随后的研究证明它是由一种变异的新型冠状病毒引起的急性呼吸道传染病。由于SARS是一种新发的疾病,我们对其在很多方面认识不清,缺乏经验,为更好的认识SARS,对SARS有较系统的序贯的了解,笔者对在北京胸科医院救援期间临床确诊的86例SARS患者的胸部X线系列影像资料进行回顾性分析,观察分析SARS病程中胸部影像动态改变特征。
1 对象与方法
1.1 诊断标准 参照卫生部2003年4月14 日公布的SARS临床诊断标准/[2/]。
1.2 研究对象 北京胸科医院2003年3月27日~5月27日期间确诊为SARS并住院治疗的、资料较完整的病例86例,男36例,女50例;年龄11~71岁,平均33.5岁。
1.3 研究方法 分别收集86例SARS患者在初期、极期及缓解期过程中的系列X线胸片。多数患者每2~3天进行胸部X线检查1次,部分重症患者每天行胸部X线检查1次,恢复期每3~5天行胸部X线检查1次。少数患者在病程的初期、极期行胸部CT扫描,部分患者在恢复期也行胸部CT扫描。回顾性分析这些影像资料与临床资料对比,观察其在病程不同时期的影像改变特征及与治疗的关系。
2 结果
86例临床确诊病例胸部X线异常出现的时间,1~3天为11例(12.8%),4~7天为63例(73.3%),1周以后为12例(14.0%)。初期最常见的胸部X线异常表现为斑片状模糊影,单侧53例(61.6%),双侧33例(38.4%)。另有5例疑似病例,胸片正常,4例CT检查排除,1例发病第9天经CT检查发现病变确诊。胸部X线异常出现极期表现的时间:4~7天为13例(15.1%),8~14天为63例(73.3%),2周后为10例(11.6%)。病变的主要特点是以双侧或单侧的单发或多发大片状模糊影(81.4%),极期时变化快,病变迅速增大48h超过50%,从单一斑片影变为大片的、多片的肺实质浸润影,从单侧发展为双侧,部分患者病变呈游走性改变。病变大多分布于中下肺野,为73例(84.9%)。极期持续时间一般为4~7天。有8例(9?3%)患者胸片出现反复,形成所谓的第2峰。9例(10?5%)在病程中胸片提示有胸膜渗出,28例(32.6%)有不同程度的心影改变。1例患者于病程的极期行胸部CT检查,见两肺广泛的大片状毛玻璃样模糊影,同时可见许多散在的小片状模糊影,另外还见双侧胸腔少量积液,这些在当天的胸部X线平片均未显示。有10例(11.6%)患者无明显极期表现。病变明显吸收出现的时间:8~14天为19例(22.1%),15~21天为42例(48.8%),22~28天为17例(19.8%),4周以上8例(9.3%)。部分病例病变明显吸收后仍残留少量病变,特别是有间质改变者,吸收较慢。其中23例恢复期行胸部CT扫描,15例有异常表现,而这些病例同期胸部X线检查仅有4例有异常。

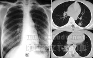
图1 女,23岁,高热7天,多次X线胸片检查未发现异常;发病第8天胸片(a),第9天胸部CT检查(b、c),在右肺内基底段及左下叶背段见斑片渗出影

图2 女,24岁,发病第5天X线胸片可见左中外带斑片渗出影(a)。发病第7天病变增大,密度增高,形成团块状实变影(b)。发病第9天到达极期,两肺中下野毛玻璃影(c)。发病第12天病变部分吸收(d)。发病第15天胸片病变再次加重,形成第2峰,心影增大,双侧肋膈角消失(e)。发病第30天胸片正常,CT 片仍可见散在间质改变(f)

图3 女,24岁,发病第10天到达极期时X线胸片表现(a),当日CT片见两肺广泛的大片状毛玻璃样模糊影,同时可见许多散在的小片状模糊影,另外还见双侧胸腔少量积液(b、c)
3 讨论
SARS是一种由新型冠状病毒引起的急性呼吸道传染病,起病急,传染性强,病情进展迅速。目前对于SARS的发病机制知之甚少,缺乏临床特异而敏感的诊断方法。在卫生部推荐的临床诊断标准中,X线胸片异常是临床诊断的必要条件之一。因此,胸部X线检查在SARS的诊断、观察、预后判断方面是必不可少的。认识SARS病程中胸片异常改变及动态变化的特点尤为重要。
本文86例SARS患者显示X线胸片异常出现的时间多在发病的4~7天(73.3%),初期最常见的表现为斑片状模糊影,单侧多(61.6%)。而有学者研究表明早期行胸部CT扫描,可使异常影像所见明显提前。因为SARS的初期病灶为孤立或散在分布的体积较小且密度极淡的渗出性病灶,胸片不易显示,再有一些病灶位于正位胸片的盲区。本组1例患者为我院护士,高热7天,多次X线胸片检查未发现异常;第9天胸部CT检查,在右肺内基底段及左下叶背段见斑片渗出影,均为平片的盲区(图1)。由于胸部CT检查敏感度远高于平片检查,对疾病的早期诊断起着重要的作用,因此早期高度疑似的病例,如有条件均应进行胸部CT扫描。
通过观察86例SARS患者从初期到极期这个阶段的胸片的动态改变显示:初期、极期均以渗出病变为主。尸体解剖的研究已经证实,SARS患者的肺泡上皮细胞、内皮细胞均为SARS病毒的靶细胞,肺泡毛细血管屏障存在破坏,导致通透性增加,肺泡内大量渗出水肿液而细胞成分很少。随着病程的进展,渗出的增多或吸收,导致胸片动态改变的易变性。早期病灶范围小,密度较低,以后病变增大,密度可以增高。多数患者在8~14天到达病程极期,极期时变化快,病变迅速增大48h超过50%,从单一斑片影变为大片的、多片的肺实质浸润影,从单侧为双侧,部分患者病变呈游走性改变。本文所见病变大多分布于中下肺野,占84.9%(73/86)。大多数患者可形成两肺中下野弥漫的毛玻璃样渗出影,危重患者常表现为ARDS(图2)。极期持续时间一般为4~7天。如患者抵抗力强,治疗及时有效,极期过后2~3天病变开始明显吸收进入病程缓解期。本组病例中9例(10.5%)在病程中X线胸片提示有胸膜渗出(图2、图3),与香港学者《138例SARS病人报告》/[3/]有差异。本组1例患者于病程的极期行胸部CT检查,见两肺广泛的大片状毛玻璃样模糊影,同时可见许多散在的小片状模糊影,另外还见双侧胸腔少量积液,这些在当天的X线胸片中均未显示(图3),如果所有病例均行胸部CT检查,可能会发现更多的双侧病变及胸膜渗出。
在本组病例中28例(32.6%)随着病程的进展,均有不同程度的心影改变(图2),此征象提示SARS的病毒可能同时也侵及心脏,造成心肌损害。
临床治疗对预后的影响中,尤以糖皮质激素的使用备受关注。然而临床对激素使用的时机、剂量、持续使用时间等有很多争议[4,5]。本文激素的使用方法为对轻型组选择性使用,26例中7例未用激素,19例小剂量使用激素(<200mg/d);重型组60例中,小剂量使用激素16例,中等剂量[(200~500)mg/d]27例,大剂量冲击疗法(>500mg/d)17例。激素治疗可降低毛细血管的通透性、减少渗出,并抑制炎症反应,基于SARS患者尸检的病理改变,其对SARS的治疗确实是有益的,但激素的使用时机、用量等有待进一步观察研究。从我院的病例看,重型组中小剂量使用激素者与大剂量冲击疗法者比较,病程中胸片的动态改变差异无显著性,恢复期肺内间质性改变的程度也无明显不同。
SARS患者在恢复期还要注意有无二重感染的问题,我院病例中有4例(4.7%)患者在恢复期(病程30天)以后,X线胸片再次出现异常改变,且逐渐加重,但患者的临床缺氧症状并不明显,后临床证实为二重感染。由于SARS对人体的免疫损害较大,加之治疗中大量糖皮质激素的使用,机体的反应能力很低,因此要特别注意有无继发二重感染,患者临床感染症状常不明显,而X线胸片已有明显改变。绝大部分极期的病例使用了糖皮质激素,激素使用剂量不尽相同,危重患者均给予大剂量冲击治疗。使用激素治疗体温改变最为明显,胸片动态改变差异并不显著。另外,本组有8例患者(9.3%)在病变已吸收后的2~7天中,症状加重,X线胸片异常改变再次加重,有学者称之为第2峰,这也是SARS胸部影像改变的另一特征(图2)。这种变化机制目前尚不清楚[6]。
本组病变吸收时间为15~21天(51.39%)。此时为病程的缓解期,此后病程逐渐向恢复期演变。大多数患者胸部X线检查已无异常发现,部分患者残留阴影吸收较慢,特别是行胸部CT扫描,发现肺部间质性改变者甚多。本组病例中有23例在恢复期同时行CT扫描,无极期表现的4例中,于发病的第4~7周复查X线胸片均无异常,CT扫描有2例仍可见局限性细网状影。有极期表现的19例中,于发病第5~8周复查16例,其中仍有12例胸部CT片可见散在的、程度不同的间质性改变,而同期胸片仅有4例表现异常。另有3例胸片无异常的患者于发病8周以后复查,有2例CT扫描正常,1例仍可见间质性改变。这些结果表明,SARS患者恢复期肺内间质性改变普遍存在,不容忽视。本组中间质性改变的比例甚高,可能由于大多数复查病例为在院住院时间较长,病情较重所致。但从研究结果表明,恢复期患者行胸部CT检查是必要的。
通过本组病例影像动态观察分析,提示SARS患者胸部X线表现在疾病的不同时期均有相应的表现,也有其特征,正确认识SARS胸部影像的动态变化可以指导临床治疗。胸部X线检查对SARS患者的早期诊断、病程观察、疗效判定及预后均起着非常重要的作用。胸部CT检查无论在SARS的哪一时期均是敏感的检查方法。
【】
1中华人民共和国卫生部.传染性非典型肺炎临床诊断标准(试行).2003-4-14.
2 Nelson Lee.香港138例SARS病人的临床特征分析.医学报,2003-4-17.
3 席家宁,苗深文.SARS激素疗法诱发结核病成因及临床特点探讨.中华医学全科杂志,2003,2(12):19-21.
4 林江涛.传染性非典型肺炎治疗中糖皮质激素应用的几个问题.中华结核和呼吸杂志,2003,26(4):326-327.
5 李太生,邱志峰.严重急性呼吸综合征(SARS)的发病机制初探.中国医学论坛报SARS研究进展(特1辑),2003,1:4-42.











