脑囊虫病的MRI诊断及病理分析
作者:郭会利 张敏 程敬亮 孙骏谟
【摘要】 目的 分析脑囊虫病的病理演变特点,探讨脑囊虫病的MRI特征及诊断价值。方法 分析36例脑囊虫病的MRI表现特点,并结合12例手术后病理材料进行比较。结果 脑实质型18例,脑室型4例,脑膜型3例,混合型11例,主要MRI特点:(1)囊虫存活期,病灶呈圆型,多发常见,附壁囊虫头节呈偏心型小点状影,T1WI呈略高信号,T2WI呈中低信号;囊液T1WI呈低信号,T2WI呈高信号;在FLAIR上脑脊液呈低信号,而囊液呈相对高信号;周围水肿不明显。(2)囊虫退变坏死期,头节消失,囊腔扩大,周围水肿明显。(3)病灶钙化后,T1WI及T2WI均呈低信号,周围水肿消失。(4)增强扫描表现为:囊壁环状增强(24/36),或不增强(12/36);囊内小点状影增强(22/36),或不增强(14/36)。(5)脑室型:常发生于第三、四脑室,其中第三脑室1例(1/36),第四脑室3例(3/36),均引起阻塞性脑积水。(6)脑膜型:因蛛网膜粘连,而引起脑积水(2/36)。结论 脑囊虫病在病理演变过程中,具有特征性的MRI表现;MRI对确定脑囊虫病的数目、大小、部位等发病特点及病理演变过程具有很高的诊断价值。
【关键词】 脑囊虫病 磁共振成像 诊断价值 病理分析
【Abstract】 Objective To analyze the pathological and developmental characteristics of cerebral cysticercosis (CC) and explore the MRI characteristics of CC and its diagnostic value.Methods The MRI findings of 36 CC cases were analyzed and compared with the postoperative pathological materials of 12 cases.Results The thirty-six cases included 18 of cerebral-parenchymal type,4 of cerebral-ventricular type,3 of meningeal type,and 11 of mixed type.The CC MRI findings are characterized mainly by:(1)frequently-encountered multiple circular foci during the cysticercus survival:small excentric spotty images of the mural cysticercus scolex :slightly high signs on T1WI and middle-lower signs on T2WI;lower signs on T1WI and high signs on T2WI of the capsular liquid;lower signs of the cerebrospinal fluid but relatively high signs of the capsular liquid on FLAIR;and unremarkable peripheral edema;(2)scolex disappearance,enlarged capsular cavity and remarkable peripheral edema during cysticercus degeneration and necrosis;(3)lower signs on T1WI and T2WI and peripheral edema disappearance after the focal calcification;(4)findings shown by the enhanced scanning:strengthened (24/36) or non-strengthened (12/36) cyst-wall circular images;strengthened (22/36) or non-strengthened (14/36) small intracapsular spotty images;(5)cerebral-ventricular type often occurring in the third and fourth ventricles:one case in the third ventricle (1/36) and three cases in the fourth ventricle (3/36),all of which suffered from obstructive hydrocephalus;(6)hydrocephalus caused by arachnoid adhesion (2/36) in meningeal type.Conclusion During the pathological development,CC has characteristic MRI findings and MRI has a high diagnostic value for determining the pathogenic characteristics,such as the number,size,location,etc,and the pathological developmental process of CC.
【Key words】 cerebral cysticercosis MRI diagnostic value pathological analysis
脑囊虫病是猪肉绦虫的囊尾蚴寄生于人脑内所引起的疾病,占全身囊虫病的80%,是中枢神经系统最常见的寄生虫感染性疾病。以往CT诊断脑囊虫病的报道不少,但MRI诊断脑囊虫病的报道却很少。笔者收集资料完整、经临床以及手术后病理证实的36例脑囊虫病的MRI诊断及病理分析报告如下。
1 资料与方法
1.1 一般资料 选择2001年1月~2002年7月分别在河南省洛阳正骨(8例)、郑州大学一附院(23例)及武汉大学中南医院(5例)行MRI检查且资料完整的脑囊虫病患者36例。男25例,女11例,年龄12~68岁,平均38岁,其中18~45岁者30例,占83%以上。本组患者均经临床表现、病史、囊虫补体结合试验阳性以及特征性MRI表现而确诊,其中12例手术后经病理证实。
1.2 扫描方法 采用美国Marconi公司生产的1.5T超导型MR扫描仪。选用头颅线圈、SE和FSE、液体衰减反转恢复(FLAIR)序列。平扫及增强扫描均行头颅轴位、矢状位及冠状位扫描。T1WI TR 450ms,TE 20ms;T2WI TR 3000ms,TE 96 ms ;FLAIR TR 8000ms,TE 120ms,反转时间Ti 1800ms;层厚5mm。对比剂为钆喷替酸葡甲胺(Gd-DTPA),剂量0.1mmol/kg,静脉团注法给药。
2 结果
2.1 病变部位 按病变累及部位分:脑实质型(18例),脑室型(4例),脑膜型(3例),混合型(11例)。
2.2 临床及相关检查结果
2.2.1 临床表现 头痛(86%),癫痫(77%),呕吐(45%),少数有精神障碍。
2.2.2 主要体征 皮下结节(56%),视乳头水肿(32%),锥体束征(60%),脑膜刺激征(12%)。
2.2.3 血液常规检查 白细胞总数大多正常,少数略增高;嗜酸性粒细胞计数超过正常值占30%,最高达2912。
2.2.4 脑脊液检查 脑脊液压力超过正常值者38%,脑脊液白细胞数超过正常值者33%,蛋白超过正常值者60%,糖超过正常值者32%,氯化物改变不明显。
2.2.5 血液和脑脊液间接血凝试验(PHA)及酶联免疫吸附试验(ELISA)检查 阳性率分别为84%及87%。
2.2.6 脑电图检查 广泛异常者占53%(轻度异常35%,中度异常15%,重度异常3%)。
2.3 MRI表现 根据脑囊虫的数目、大小、部位及病理演变的不同时期,MRI具有如下特征性表现。
2.3.1 急性脑炎型 囊尾蚴一次性大量进入脑实质而引起急性炎症的表现,其MRI表现与一般脑炎类似,以脑室旁脑实质最明显,在T1WI上呈对称性低信号,在T2WI上呈对称性高信号。Gd-DTPA增强扫描,多无强化或不规则增强灶。
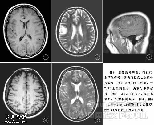
2.3.2 多发小囊型 系多个存活期囊尾蚴并存的表现。MRI表现为双侧大脑皮质区有多个散在分布的小圆形或卵圆形小囊,直径3~8mm,在T1WI上呈低信号,在T2WI上呈高信号,壁内偏心型小点状影为囊虫头节,在T1WI上呈高信号,在T2WI上呈中低信号,见图1、图2,周围水肿不明显。在FLAIR上脑脊液为低信号,而变性囊液为相对高信号。Gd-DTPA增强扫描,囊壁多呈环状强化,少数不强化,头节多呈点状强化,少数可不强化,见图3。

2.3.3 大囊型 系一个巨大囊尾蚴或多个囊尾蚴融合而成的表现。MRI表现为脑实质内巨大的圆形或卵圆形囊腔,其内无头节,信号与脑脊液一致,在T1WI上呈低信号,在T2WI上呈高信号,周围可合并脑水肿,有占位效应。Gd-DTPA增强扫描,大囊本身多不被强化,而周围有纤维组织增生时,可呈环状强化;在FLAIR上,大囊内多呈低信号。
2.3.4 囊虫性脑内小脓肿型 系囊尾蚴死亡时,其代谢产物刺激脑组织引起无菌性炎症、坏死,周围脑组织纤维增生形成脓肿壁造成指状水肿的表现。小脓肿在T1WI上呈低信号,在T2WI上呈高信号,在FLAIR上脑脊液呈低信号,周围水肿呈高信号。Gd-DTPA增强扫描,呈明显的环状强化。
2.3.5 葡萄囊丛型 系多个囊虫聚集在一起或1个囊虫在退变、死亡中由于炎症反应及囊壁纤维化而形成分叶状,而颇似葡萄串样改变。葡萄状囊丛在T1WI上呈低信号,在T2WI呈高信号,纤维间隔在T1WI上呈中等信号,在T2WI上呈低信号,无囊虫头节。Gd-DTPA增强扫描,囊壁及间隔可轻度强化。
2.3.6 血管炎性脑梗死型 系囊虫性蛛网膜炎导致小动脉内膜炎,引起脑梗死的表现,多位于基底节区。在T1WI上呈低信号,在T2WI上呈高信号。Gd-DTPA增强扫描,呈脑回状强化。
2.3.7 钙化型 系囊尾蚴死亡后被机化,形成纤维组织或钙化的表现。MRI表现为脑实质内多发或单个小病灶,直径一般2~4mm,在T1WI及T2WI上均呈低信号,见图4、图5,周围无水肿带,Gd-DTPA增强扫描无强化。
2.3.8 脑室型 囊尾蚴寄生于脑室内,可引起阻塞性脑积水。MRI表现为囊虫所在部位脑室呈不对称性增大,在T1WI上呈低信号,在T2WI上呈高信号,存活期囊虫多较脑实质型虫体体积大,直径可>2cm,囊壁上可见偏心型头节影,在T1WI上呈略高信号,在T2WI上呈低信号。Gd-DTPA增强扫描,囊虫存活期囊壁无强化;退变死亡期囊壁可明显强化。
2.3.9 脑膜型 系囊尾蚴寄生于软脑膜并引起蛛网膜炎,发生粘连或性脑积水的表现。Gd-DTPA增强扫描,可见软脑膜强化。
2.3.10 混合型 为上述两种或两种以上的类型同时存在,MRI表现为相应类型表现的综合。
2.4 病理分析 12例手术后经病理证实:其中多发散在小囊状长T1、长T2病灶为囊液;中等信号的边缘为囊壁;囊内附壁偏心型点状影,在T1WI上呈高信号,在T2WI上呈中低信号为囊虫头节;多发散在的小点状长T1、短T2低信号影为死亡囊虫钙化的影像;大囊在FLAIR上呈低信号,说明囊内为自由水。
3 讨论
脑囊虫病的MRI表现与囊虫所在的部位及病理演变时期有直接关系。
3.1 分型标准 依据国内外分型标准[1],将脑囊虫病分为脑实质型、脑室型、脑膜型及混合型,MRI可以准确地显示各型的发病特点(数目、大小及部位等)。
3.2 病理演变分期 依据脑囊虫的病理演变过程,将其分为囊泡期、胶样囊泡期、结节期及钙化期,各期由于所含成份的变化,而具有特征性的MRI表现。
3.3 MRI诊断脑囊虫病应特别注意以下几个问题 (1)脑囊虫活动期典型特征,包括囊壁、囊液和头节3个部分,是诊断的直接征象。(2)急性脑实质型,表现为广泛的炎症反应,双侧大脑半球脑白质发生严重脑水肿[2],应与脑炎相鉴别。(3)脑膜型,多表现为蛛网膜炎发生粘连而引起脑积水的改变[3],难与其他原因引起的脑积水相鉴别,因此需要结合临床才能诊断。(4)脑室型,囊虫多发生于第三、四脑室,尤以第四脑室多见,常发生阻塞性脑积水,当病灶<3mm时,多不具备特征性,此时,应用FLAIR序列,将脑脊液抑制为低信号,从而使较小的病灶充分显示出来。(5)增强扫描,Gd-DTPA增强前后病灶显示上的差异问题,有学者[4]认为主要是死亡不久的囊尾蚴释放的代谢产物所产生的炎症反应的结果。当脑囊虫周围形成肉芽组织时可发生点状、结节状或小环状强化[5],而当囊虫死亡形成钙化时,则无强化。这说明强化是有条件的。
分析3个经临床以及手术后病理证实的脑囊虫病的MRI资料,MRI具有特征性表现,可准确诊断脑囊虫的数目、大小及发病部位,随访检查可动态观察脑囊虫病的病理演变过程,尤其是对较小的病灶以及脑室型和脑膜型的诊断,具有无法替代的作用,因此MRI对脑囊虫病的诊断具有很高的临床应用价值,宜作为首选检查手段。
【】
1 曾炳生.脑囊虫病的CT诊断.中华放射学杂志,1982,16:244.
2 Mervis B,Lotz JW.Computed tomography (CT) in parenchymatous cerebral cysticercosis.Clinic Radiology,1980,31:521.
3 Carbajal JR.Radiology of cysticercosis of the central nervous system including computed tomography.Radiology,1977,125:127.
4 Byrd SE.The computed tomographic appearance of cerebral cysticercosis in adult and children.Radiology,1982,144:819.
5 Zee CS.Unusual neuroradiological fetures of intracranial cysticercosis . Radiology ,1980,137 :397.











