核苷类药物治疗慢性乙型肝炎临床研究的探讨
【关键词】 慢性乙型肝炎; 核苷类药物; 临床应用
一般认为乙型肝炎病毒(CHB)本身致病性有限,机体的免疫功能(主要是细胞免疫)在清除病毒的过程中造成的免疫病理损伤,导致肝脏细胞病变、坏死,临床出现一系列症状和血清学的异常,但是在疾病的中及抗病毒药物清除病毒过程中均可发现病毒水平和人体免疫力有相关性。康复时,先出现病毒下降,再出现临床病情缓解;病情复发时,则先出现病毒水平上升,然后出现病情加重。这说明病毒作为免疫应答的靶抗原,在决定病情发展过程中起了重要作用,所以乙型肝炎的抗病毒治疗是一个重要环节。
临床研究发现:HBV在人体存在的形式是以野生株与各种变异株混合存在,在机体的免疫压力下或抗病毒药物治疗过程中,HBV容易发生变异,目前国内外使用的各类抗病毒治疗药物,只能抑制HBV的复制,而不能清除病毒,这给临床的治疗带来很多的困难,因此,目前慢性乙型肝炎的治疗存在着长期性、艰巨性和复杂性,但同时又具有可治性。其治疗的主要目标是清除或持久地抑制HBV复制;而短期目标是:(1)减轻肝脏炎症;(2)预防肝纤维化和/或肝功能失代偿;(3)确保HBV-DNA消失和ALT复常;远期目标是:(1)防止ALT反弹导致肝功能失代偿;(2)防止进展为肝硬化和/或HCC;(3)延长患者生存时间。
近年来,随着核苷类药物,如:Lamivudine(拉米夫定,贺普丁)、Adefovir(阿得福韦)、Entecavir(恩替卡韦)、Telbivudine(替必夫定)等的不断问世,在慢性乙型肝炎的治疗中,取得了明显的疗效。我们在临床用药过程中,体会到:这些核苷类药物临床使用方便,治疗过程中,血清HBV-DNA的载量可迅速下降,肝功能ALT、AST恢复正常,肝脏组织学的病变也明显改善。但由于这些核苷类药物只能抑制HBV的复制,而不能清除病毒,给临床带来难题-停药困难。因此,必须长期用药,定期随访观察。
现就核苷类药物临床如何合理用药?笔者谈谈个人的一点体会。
1 核苷类药物临床使用时,应严格掌握适应证
(1)血清ALT≥2×正常值上限(ULN),或反复升高6个月以上。(2)HBeAg阳性或HBeAg阴性的慢性肝炎。(3)HBV-DNA≥105copies/ml(HBV-DNA≥20000IU/L)。
CHB本身致病性有限,当机体的免疫处于活跃状态时(主要是细胞免疫),TLC则主动地攻击感染HBV的肝细胞,造成肝细胞变性、坏死,出现一系列临床表现,临床医生应把握时机,积极治疗;当机体的免疫处于耐受状态时,即便血清HBV-DNA≥105copies/ml,也毋需抗病毒治疗。我们曾遇到1例病人,男性,28岁,在某体检时,发现HBV-M阳性,HBV-DNA>109copies/ml,血清ALT正常,医生给予Lamivudine100mg/d,治疗过程中,HBV-DNA无明显变化,1年后ALT升高达395U/L,HBVYIDD阳性,提示HBV变异。我们在临床实践中对病人进行抗病毒治疗时,部分病人ALT升高达2000 U/L,TBIL高于50μmol/L,在使用核苷类药物时,并不一定要等到胆红素下降才开始治疗,只要是HBV-DNA≥105copies/ml就应积极地采取抗病毒治疗,因为核苷类药物能迅速地抑制HBV的复制,从而减轻免疫细胞对肝脏的损伤,有利于患者病情的恢复。
2 核苷类药物治疗慢性乙型肝炎的疗效评估
目前国内上市以及即将上市的核苷类药物,对HBV的复制均有明显抑制作用。现就四种核苷类药物治疗慢性乙型肝炎48周终点时疗效比较见表1及图2~5。
表1 四种核苷类药物治疗慢性乙型肝炎48周疗效比较

注:(1)2004年第14届亚太区年会(新德里);(2)Abstract 42 39th EASL April 14-18,2004,Berin,Germany
表1中提供的数据是来自于不同的实验室,仅供。从表中提供的数据分析,四种核苷类药物在治疗慢性乙型肝炎,均有明显地抑制HBV的复制和改善肝组织学炎症活动度(G)和肝纤维化(S)程度。但在临床使用过程中,我们体会到各有其不足,我们应从中取其之长,来补其之短,发挥各自的优势,更好地为病人服务。如Lamivudine有迅速抑制HBV的复制的优点,但长期使用可促使HBV的基因变异,根据国内外报道Lamivudine 1年以后HBV的基因变异有不断地升高趁势,见图1。

图1 拉米夫定治疗的抗药性逐年发生率 图1显示:Lamivudine治疗1年抗药性为24%,4年达70%。
HBV的基因变异多发生在Lamivudine治疗6~8个月以后,为减少HBV的基因变异,近年来,我们对慢性乙型肝炎患者,先采用Lamivudine治疗3个月,当血清HBV-DNA≤5×102copies/ml(即病毒转阴性)时,改用Adefovir 10mg,每日1次。这样就可以大大地减少HBV的基因变异,取得长期抑制HBV的复制和改善肝组织学的病变,减少病情反复,节约治疗费用的目的。由于Adefovir在治疗中,通常1年内不会发生HBV的基因变异,治疗中2年和3年变异率分别为1.9%、3.4%,因此,我们采用以上方案治疗慢性乙型肝炎30例,取得了明显的疗效。2006年7月美国最新修订的慢性乙型肝炎治疗规范将阿德福韦,恩替卡韦等作为一线抗病毒的药物,值得我们临床医生参考。
3 慢性乙型肝炎治疗中存在的难点问题
3.1 抗病毒治疗的难点 (1)HBV的复制模板cccDNA存在于肝细胞核中,目前国内外研制的各类抗病毒治疗药物,只能抑制HBV的复制,而不能清除病毒,这给临床的治疗带来很多的困难。(2)抗病毒药物不能将其清除,疗程很难把握,多数病例,用药时间过短,一旦停药,HBV的再复制活跃,肝功能出现异常,甚至于少数病例发展成为肝功能衰竭,而死亡。(3)在机体的免疫压力下或抗病毒药物治疗过程中,HBV容易发生变异,目前国内上市以及即将上市的核苷类药物,对HBV的复制均有明显抑制作用,长期使用可能会促使HBV发生变异,一旦病毒变异,病情可出现反复,造成患者精神负担加重。(4)长期使用抗病毒药物,患者负担沉重,常常出现自动停药,导致病情恶化。
3.2 严格掌握核苷类药物临床使用时适应证 (1)在使用核苷类药物时,医生应向患者详细说明该类药物优点和不足,从而使患者获得知情权和依从性。在治疗过程中,医生应做到定期随访,详细地掌握患者HBV消长情况,及时更换核苷类药物的品种,以便更有效地长期抑制HBV的复制。(2)应向患者及其亲属说明,目前慢性乙型肝炎的治疗存在着很多难点,应做到较长期时间使用抗病毒药物,但同时又具有可治性。只有长期地抑制HBV的复制,不断地消除肝细胞的炎症,才能减少肝硬化和肝癌的发生。(3)为促进病毒的清除和HBeAg的转换,我们在抗病毒药物治疗的同时,加用中药:活血化瘀,滋阴补气方药,如:黄芪、女贞子(贞芪扶正胶囊)等,临床初步应用收到了一定疗效,值得临床扩大验证。
4 典型病例
附2例慢性乙型肝炎患者,经抗病毒药物52周,血清学、免疫学、HBV-DNA以及肝脏组织学的动态变化。
例1,患者,男,27岁,前病理诊断(20040088):CHB,肝脏组织学的炎症活动度(G4),纤维组织化程度( S3),纤维组织增生明显。HBV-DNA 9.97 Log10,HBV-M提示:HBsAg阳性、HBeAg阳性、HBcAg阳性(即135阳性)。见表2。
表2 实验室检测指标

注:表中的数字HBV-DNA Log10,HBV-M指(HBsAg HBsAb HBeAg HbeAb HBcAb)
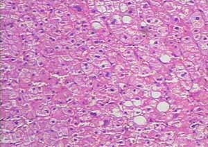
治疗52周,第2次肝检,病理诊断(20050968):CHB,G1 S0。个别肝细胞胞浆内见有脂滴。提示:经52周治疗肝脏组织学病变明显改善。见图2、3。

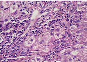
图2 例1,治疗前病理诊断:CHB,G4 S3,纤维组织增生明显,HE染色(×400)

图3 例1,治疗52周,肝脏组织学的炎症活动度由G4下降至G1,肝脏组织学的纤维化由S3下降至S0,HE染
例2,患者,男,27岁,病理诊断(20040087):CHB,G4 S3,纤维组织增生明显;HBV-DNA9.26 Log10,HBV-M135阳性,ALT 186U/L,AST 217U/L,TSB 17,γGP16.42%,PLT 124×109/L,WBC 5.2×109/L。见表3。
表3 实验室检测指标

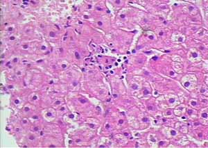
服用抗病毒药52周第2次肝检,病理诊断(20050153):CHB,G1-2 S0-1。见图4、5。

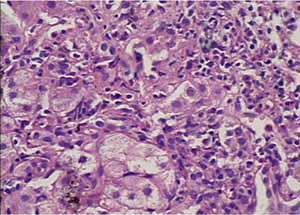
图4 例2,治疗前病理诊断:CHB,G4 S3,纤维组织增生,HE染色(×400)

图5 例2,治疗52周,肝脏组织学的炎症活动度由G4下降至G1~2,肝脏组织学的纤维化由S3下降至S0~1,HE染色(×400)











