22例Darier病的临床病理学研究
作者;吴良才,卢念祖,罗迪青,何定阳,韩建德,刘隽华
【摘要】 目的 探讨广东地区Darier病的临床表现和组织病特征。方法 本研究是回顾性研究,于2001年10月~2006年7月期间来自中山大学附属第一皮肤科门诊共22例DD患者。电话通知患者到诊见面随访,并完成一个调查问卷,包括人口统计学、临床和病理资料。结果 22例患者中有女10例,男12例,男女比例基本相当。平均发病年龄16岁。其中15例有家族遗传史。主要的症状是瘙痒。多在皮脂溢出部位和屈侧皮肤可见油腻性角化性丘疹,且全部病例肢端受累,36.36%患者口腔有皮损。最常见部位依次为面部、耳部和耳后、颈部。局限性棘层松解性角化不良及其产生的圆体和谷粒是最常见的组织病理学改变。结论 Darier病是一种少见的常染色体显性遗传性皮肤病。常在皮脂溢出部位和屈侧皮肤见油腻性丘疹和斑块。棘层松解和角化不良是典型的病理改变。
【关键词】 Darier病;毛囊角化病;临床病理学;遗传的
A clinico-pathological study on 22 cases of Darier’s disease
【Abstract】 Objective To study the clinico-pathological features of patients with Darier’s disease in Guangdong Province.Methods This is a retrospective study and all the 22 patients with DD are from dermatology clinic of the first affiliated hospital of Sun Yat-Sen University from October 2001 till July 2006.All the patients are called to attend the clinic to be interviewed and complete a questionnaire which comprise the demographicclinical and pathological data.Results There are 22 affected patients (10 males and 12 females with approximately equal sex ratio) and the mean age of onset was 16 years old.Fifteen patients had positive family history.The major symptom experienced was itching.Keratotic papules were invariably present in our patients and mixed pattern with seborrheic plus flexural involvement was the commonest phenotypic variation.All of them had acral signs; 36.36% patients had oral mucosal lesions.Lesions were most frequently found on face,ears and back of ears,neck.Focal acantholytic dyskeratosis with corps rounds and grains were the usual histopathological findings.Conclusion Darier’s disease is a rare dermatosis with an autosomal dominant mode of inheritance.Greasy papules and plaques arise on the seborrheic areas and in the flexures.Acantholysis and dyskeratosis are the typical histological findings.
【Key words】 Darier’s disease; keratosis follicularis; clinical pathology; genetic
Darier病(Darier’s diseaseDD; Keratosis follicularis)是一种少见的常染色体显性遗传性皮肤病。可发生于任何年龄,常在儿童期初发,以8~16岁为最多,男女发生率相当。本病以皮脂溢出部位和皱褶处发生的油腻性丘疹、斑块为特征,且几乎都有甲畸形改变。病情迁延反复、皮肤瘙痒、继发感染产生的难闻气味经常困扰患者,并可毁坏容貌,严重影响患者的生活质量。本研究旨在探讨广东地区Darier病的临床表现,并初步探讨其病理特征。
1 资料与方法
1.1 病例入选 22例Darier病均为2001年10月~2006年7月期间,中山大学附属第一医院皮肤科、中山大学附属第一医院黄埔院区皮肤科的门诊患者。所有的病例均经过组织病理学诊断。
1.2 病人随访 通过电话邀请22例入选患者见面随访,如果不能到访的患者则电话随访。所有的病人均被告知,并且同意参加本调查研究。研究者制定调查问卷应涉及研究目的、人口学和遗传学资料、临床表现、病理特征等。患者的临床特点根据Sakuntabhai等制定的标准(见表1)分为轻度、中度、重度三级。
表1 Darier病的临床严重程度分级

2 结果
2.1 基本人口遗传学资料 患者年龄10~66岁(平均32岁),男10例,女12例,性别比例基本相等(Fisher ’s精确检验)。其中15例(68.18%)患者家族其他成员有DD史,其他患者为散发病例,其遗传模式符合常染色体显性遗传的特征。不同性别的起病年龄也没有统计学差异(Mann-Whitney U 检验)。16例患者(72.72%)在20岁之前起病,起病的高峰年龄10~20岁,平均16岁。
2.2 临床特征
2.2.1 皮损形态和分布 最常见皮损形态为油腻性角化性丘疹,其次史疣状斑块。面部(81.82%)、颈部(76.58%)、前胸(76.58%)、腋窝(63.64%)、头皮(54.55%)、后背(40.91%)和腹股沟(40.91%)是最常见的受累部位,而臀部、会阴、外生殖器最少受累。口腔黏膜受累者有8例(36.36%),可见鹅卵石样改变。同时累及皮脂溢出部位和屈侧皮肤(图1)的有12例(54.55%),单纯皮脂溢出部位的有6例(27.27%),而3例(13.64%)仅累及屈侧皮肤。

图1 颈胸腋窝见油腻性污褐色丘疹
2.2.2 起病部位 本组患者都能回忆起起病部位,常见起病部位依次为面部(50.00%),耳朵及耳后(22.73%),颈部(18.18%)。
2.2.3 临床严重程度(图3) 结果示中度患者有10例(45.45%),轻度和重度各占22.73%,31.82%。男女患者之间的病情严重程度差异无显著性(P=0.652,Mann-Whitney U test)。
2.2.4 症状和加重因素 大部分病人(81.82%)有不同程度瘙痒,其中3位患者诉伴有疼痛。多数患者伴有细菌感染,有7例患者(31.82%)可闻恶臭味。5例患者(22.73%)伴发皮损处皮肤的真菌感染。本组患者未发现系统损害如骨囊肿、食管、唾液腺的分泌障碍等。天气热、日晒、出汗、心理压力常是加重病情的诱因。
2.2.5 肢端受累情况 发生率高,所有的患者手部均有皮疹,包括掌部凹点、V形痕迹、碎甲(图2)等。其中一例出现特征性的三联甲改变,即红、白纹,V形凹痕。

图2 手指碎甲和V形痕迹
图3 DD患者临床严重程度分级
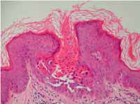
2.3 组织病特征(图4) 可见较为特征的表现有:特殊形态的角化不良,形成圆体和谷粒;棘层松解,形成基底层上裂隙和隐窝;乳头层呈“绒毛”不规则延伸进裂隙;可有乳头瘤样增生,真皮为慢性炎症性浸润。其中角化不良和棘层松解见于所有(100%)患者,基底层上裂隙和谷粒见于90%以上的病人。

图4 HE染色 10×40倍
3 讨论
Darier病又称毛囊角化症,由Darier和White于1889年首次描述[1,2]。DD是一种少见的外显率很高的常染色体显性遗传性角化不良性皮肤病[3,4]。然而,临床上还是有1/3患者没有疾病家族史[5],推测可能是包含不完全外显率,由于自发突变,基因不完全表达和非亲子遗传[6]。
DD多表现为发生于皮脂溢出部位、屈侧皮肤、耳后、颈部、肢端的油腻性角化性坚实的褐色丘疹,丘疹可融合为疣状斑块。Burge等[5]根据主要受累部位分为皮脂溢出型、屈侧皮肤型、肢端型和混合型。瘙痒是本病的最常见症状,其次为身体恶臭味和疼痛。手部皮肤和指甲均可受累,出现甲红、白层叠纹伴V形凹痕三联征是具有诊断价值的甲改变。肢端瘀斑较少发生,但发现和错义突变有关[7]。36.36%患者口腔受累,多见于上颚黏膜上细粒状粗糙的小卵圆形皮损[8]。本研究中最常见的起病部位是面部(50.00%),而英国人则多在胸肩背部起病[5]。继发细菌等感染后产生难闻气味,对患者的日常生活产生严重影响。笔者发现DD和其他疾病没有显著相关,然而,有报道[5,9]很多DD家庭成员中神经精神疾病如低能、精神分裂症等的发病率较高。尽管有很多努力试图破解增加神经精神疾病的相关基因突变模式,但至今仍未有结论性的发现。报道出汗[5]、日晒[10]、心理压力、月经期[5]、怀孕、药物[11] 等因素可以诱发DD病情加重,笔者发现90%以上患者诉天气热、出汗和日晒是皮肤症状加重的主要诱因。本病临床上要和湿疹、Hailey-Hailey病、Grover病、棘层松解性表皮痣的线状或节段性皮损、黑棘皮病等鉴别,而病理区分并不难。
病理特征方面,文献有很多一致的经典描述。具有诊断价值的主要特征是局限性棘层松解性角化不良(focal acantholytic dyskeratosis,FAD),形成镜下特征性的谷粒、圆体、基底层上裂隙和隐窝、伴有广泛的小水疱形成及免疫荧光检查可阳性。谷粒通常是位于角质层的一些椭圆形细胞,具有伸长的雪茄状细胞核和丰富的角质透明蛋白颗粒;而圆体多是在棘层和颗粒层的一些大角质形成细胞,核大且有清晰的晕轮,核周是明亮的嗜酸细胞样的细胞质。FAD并不是DD独有的,也可在棘层松解性表皮痣、Grover病、疣状角化不良瘤甚至恶性黑素瘤中发现。
DD严重影响患者生活质量,充分认识这一点对临床是有积极意义的。治疗的主要目的是减轻症状、治疗并发症。DD治疗的主要内容分为卫生宣教、局部用药、系统维甲酸口服和外科治疗等。
【文献】
1 Darier J.Psorospermose folliculare vegetante.Ann Dermatol Syphiligr,1889,10: 597-612.
2 White JC.A case of keratosis ( ichthyosis) follicularis.J Cutan Genito-Urin Dis,1889,7:201-209.
3 Munro CS.The phenotype of Darier’s disease: penetrance and expressivity in adultsand children.Br J Dermatol,1992,127:126-130.
4 Ringpfeil F,Raus A,DiGiovanna JJ,et al.Darier disease-novel mutations in ATP2A2 and genotype-phenotype correlation.ExpDermatol,2001,10:19-27.
5 Burge SM,Wilkinson JD.Darier-White disease: a review of the clinical features in163 patients.J Am Acad Dermatol,1992,27:40-50.
6 Munro CS.The phenotype of Darier’s disease: penetrance and expressivity in adultsand children.Br J Dermatol,1992,127:126-130.
7 Dode L,Andersen JP,Leslie N,et al.Dissection of thefunctional differences between sarco(endo)plasmic reticulum Ca2+-ATPase (SERCA)1 and 2 isoforms and characterization of Darier disease (SERCA2) mutants by steadystateand transient kinetic analyses.J Biol Chem,2003,28;278:47877-47889.
8 Macleod RI,Munro CS.The incidence and distribution of oral lesions in patients withDarier’s disease.Br Dent J,1991,171:133-136.
9 Jacobsen NJ,Lyons I,Hoogendoorn B,et al.ATP2A2 mutations in Darier’s disease and their relationship to neuropsychiatricphenotypes.Hum Mol Genet,1999,8:1631-1636.
10 Heo EP,Park SH,Yoon TJ,et al.Induction of Darier’s disease by repeatedirradiation by ultraviolet B; protection by sunscreen and topical ascorbic acid.J Dermatol,2002,29:455-458.
11 Rubin MB.Lithium-induced Darier’s disease.J Am Acad Dermatol,1995,32:674-675.











