华支睾吸虫病的超声诊断价值
作者:李建辉 李泉水 何慧明 陈毓菁
【摘要】 目的 探讨二维超声诊断华支睾吸虫病的声像图表现及其临床应用价值。方法 应用二维超声对308例华支睾吸虫病患者进行检查,观察肝、胆声像图特点,重点观察肝内外胆管有无扩张及其分布、胆管壁回声、肝实质回声、胆囊情况。结果 279例华支睾吸虫病有特征性表现。271例肝内胆管较均匀或节段性扩张,部分被膜下小胆管囊状扩张,胆管壁增厚、回声增强,以Ⅱ、Ⅲ级胆管较为明显;60例胆囊内可见点絮状飘浮物回声。5例肝吸虫致胆道阻塞时可见胆管较均匀扩张,管壁增厚,呈低回声,与周围肝组织分界清晰,管腔内充满不均质回声。本组中经超声诊断华支睾吸虫病的准确率98.9%,敏感性90.3%,特异性100%。结论 华支睾吸虫病的二维超声声像图表现有一定特异性。超声检查是诊断该病的首选方法,有较高的临床应用价值。
【关键词】 华支睾吸虫病 超声诊断
【Abstract】 Objective To study the ultrasonic imaging characteristics and its diagnostic value for clonorchiasis.Methods 308 patients with clinically proved clonorchiasis were examined by ultrasonography.The ultrasonic imaging characteristics such as the intrahepatic duct dilatation,ductal and periductal echogenicity,floating plaques in gallbladder were analyzed.Results Among the 279 cases had changes on ultrasonic imaging.The main characteristics were the dilatation and thickened hyperechoic walls of intrahepatic bile ducts uniformly or segmentally,especially in Ⅱ,Ⅲ level intrahepatic ducts.Partly,the cystiform dilatation of intrahepatic bile ducts can seen in the edge of liver and floating plaques with postural variation in gallbladder.The bile ducts were full of uneven foci and dilated clearly when blocked by clonorchis sinensis,and the thickened hypoechoic walls were distinguished from liver parenchyma.In this group the accuracy rate,the sensitivity and specificity of diagnosing clonorchiasis with ultrasonography were 98.9%,90.3%,100% respectively.Conclusion The ultrasonic imaging of clonorchiasis has typical characterisitics,and ultrasonography is valuable in diagnosis of clonorchiasis,which is the first diagnostic method of images.
【Key words】 clonorchiasis ultrasonic diagnosis
华支睾吸虫病(Clonorchiasis)又称肝吸虫病,是一种广泛流行于亚洲(如、韩国)的人体寄生虫病[1]。随着饮食习惯的交流及生活的迁移,有扩大趋势,尤其在我国华南地区是高发区,感染率达4?08%[2],值得广大医务工作者关注。肝吸虫病的诊断主要依赖于病史、临床表现,实验室检查及影像学检查(包括超声、CT和胆道造影),其中超声检查起着重要的作用。但现有报道对超声声像图改变及其诊断价值持不同观点[1,3,4]。本文应用二维超声对308例华支睾吸虫病患者进行检查,旨在探讨其声像图特征及超声的临床应用价值。现报告如下。
1 资料与方法
1.1 一般资料 本组308例患者均为2001年1月~2003年12月我院门诊和住院患者,男230例,女78例;年龄2~78岁,平均46.8岁,其中2~20岁38例(12.3%),21~40岁85例(27.6%),41~60岁126例(40.9%),>60岁59例(19.2%)。临床表现复杂、多样。本组患者一般情况良好,无不适148例;上腹部疼痛不适160例,乏力、食欲减退79例,腹胀37例,发热24例,间歇性黄疸6例,进行性黄疸2例。合并胆囊炎98例,胆囊息肉64例,胆囊结石58例,肝内胆管结石37例,胆总管结石2例,脂肪肝10例。其中经外科手术证实23例,血清学检查和/或粪便虫卵(阳性)证实89例。
1.2 诊断标准 患者有食生嗜好或食生鱼史;粪便查虫卵阳性;血清、皮肤试验阳性;有临床不适,经吡喹酮药物后,症状消失;超声检查有特征性改变:肝内胆管均匀扩张,以远端细小胆管明显,胆管壁增厚,回声增强,胆管周围组织回声增粗、增强,难以用其他胆系疾病来解释的;经手术证实有活虫体,胆汁引流出活虫体或虫卵。
1.3 仪器与方法 应用ALOKA-900型及GE200型超声诊断仪,探头频率3.5MHz。于空腹时行肝、胆常规超声检查,取平卧位或左右侧卧位,多切面扫查,观察其声像图特点,重点观察肝内外胆管有无扩张及其分布、管壁回声、肝实质回声、胆囊情况等。
2 结果
308例华支睾吸虫病患者中,29例超声检查无明显异常发现,1例误诊为肝内胆管癌,1例误诊为胆总管癌,1例漏诊、仅诊断为胆总管结石,其余均可见特征性超声表现。本组中超声检查的诊断准确率98.9%,敏感性90.3%,特异性100%。
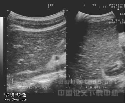
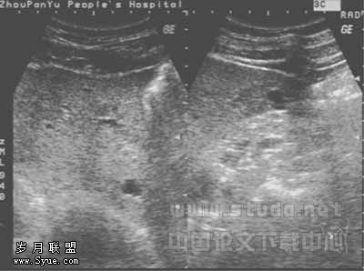
271例Ⅱ、Ⅲ级肝内胆管较均匀或节段性扩张,内径一般<3mm;Ⅱ、Ⅲ级及部分Ⅰ级胆管壁呈节段或弥漫不均匀增强、增厚,见图1,部分管壁出现不规则钙化斑,可伴有声影,胆管壁与门静脉分界不清,周围肝组织回声增强、增粗。其中4例合并被膜下小胆管囊状扩张,均<2cm,见图2。华支睾吸虫病在肝内的分布无明显特异性,但随着年龄的增长,其超声表现有由肝内胆管的扩张到胆管壁增厚、钙化、回声增强,周围肝实质回声增强、增粗这样一个趋势。
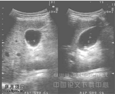
60例胆囊内可见点絮状物回声飘浮或沉积,见图3,改变体位后其形态变化明显,后无声影及慧星尾征,57例同时伴有上述肝内胆管的超声表现。

图1 肝内胆管节段性扩张,管壁增厚、回声增强、钙化

图2 华支睾吸虫病,被膜下小胆管囊状扩张

图3 华支睾吸虫病,胆囊内可见点絮状飘浮物回声
华支睾吸虫及其分泌物致胆道阻塞5例,其中累及肝右前叶2例,整个肝右叶1例,胆总管2例。超声表现为胆管较均匀扩张、管壁增厚,呈低回声,与周围肝组织界限清晰,胆管内充满不均质回声,见图4。

图4 肝吸虫致胆道阻塞,胆管扩张,管壁增厚,呈低回声,管腔内充满不均质回声
3 讨论
华支睾吸虫病是经口感染后寄生于肝内胆管而引起的疾病。根据人体的免疫力不同、感染虫体的数量、感染时间长短,临床表现不一。可无任何症状,或有轻微腹痛不适,重者亦可出现胆道阻塞、肝硬化等情况。本组华支睾吸虫病患者的年龄分布以中、青年为主,临床表现复杂多样。但有48.05%(148/308)患者无不适表现,是在健康体检或其他原因进行腹部超声检查时发现的,因而这部分患者更应该值得关注,特别在流行疫区,以便得到及时。
华支睾吸虫病的影像学检查主要包括超声、CT和胆道造影。超声检查因无创、、简便,能够有效观察到>1mm的肝内胆管,对肝吸虫病的诊断起着重要的作用。但超声检查对该病的诊断价值有不同观点。Lim等[4]认为超声检查能有效诊断华支睾吸虫病,敏感性、特异性较高,而Hong[1]则持否认观点。后者可能与感染较轻或经治愈后检查有关。一般认为感染越轻,超声检查的敏感性及特异性就越低,反之则越高。本组超声检查的诊断准确率98?9%,敏感性90.3%,特异性100%,亦说明超声对华支睾吸虫病的诊断有较高临床价值。
实验表明超声声像图改变与华支睾吸虫病的病理结果相一致[5]。华支睾吸虫病的病理表现主要为胆管黏膜增生、化生,内皮细胞发育异常,胆管周围组织炎症浸润或纤维化,胆管壁增厚。从本组患者来看,随着年龄的增长,华支睾吸虫病的超声表现有由肝内胆管的扩张到胆管壁增厚、钙化、回声增强,周围肝实质回声增强、增粗这样一个趋势。华支睾吸虫病的特征性超声表现主要为肝内胆管较均匀或节段性扩张,胆管壁增厚、钙化、回声增强,以Ⅱ、Ⅲ级肝内胆管明显,部分被膜下小胆管囊状扩张;胆囊内可见点絮状飘浮物回声。若肝吸虫致胆道阻塞时可见胆管较均匀地扩张,管壁增厚,呈低回声,与周围组织分界清晰,管腔内充满不均质回声。虽有报道[6]在肝管及胆囊内见到蠕动的虫体回声,是诊断本病的佐证,但是由于虫体较细小,在扩张的小胆管内观察其蠕动有一定的困难。
但是,肝内胆管的扩张需与阻塞性胆道扩张相鉴别。华支睾吸虫病的胆管扩张呈肝门向被膜方向较均匀扩张,且以周缘部明显,与阻塞性胆管扩张表现为由肝门向周缘部逐渐变小不同,是本病的一个特征性表现。若肝被膜下小胆管呈囊状扩张,易误诊为肝小囊肿,但本病引起的胆管囊状扩张囊壁回声较强,不规整,有时可显示与小胆管相通。再则,若肝吸虫及其分泌物致胆道阻塞时,应与胆道肿瘤相区别。胆道肿瘤主要表现为胆管局部回声中断,充盈缺损,胆管扩张,远端逐渐变细,且黄疸进行性加重,而肝吸虫致胆道阻塞时胆管较均匀扩张,管壁增厚,呈低回声,与周围组织分界清晰,管腔内充满不均质回声,累及范围至胆管远端,黄疸无进行性加重,时轻时重。这可能与虫体的蠕动及其分泌物不能完全阻塞胆管有关。
综上所述,华支睾吸虫病的二维超声声像图改变有一定的特异性,超声检查是诊断该病的首选方法,有较高的临床应用价值。
【文献】
1 Hong ST,Yoon K,Lee M,et al.Control of clonorchiasis by repeated praziquantel treatment and low diagnostic efficacy of sonogtaphy.Korrean J Parasitol,1998,36(4):249-254.
2 潘波,方锐怡,史小楚,等.广东省第二次人体寄生虫分布调查.寄生虫病防治杂志,1998,11(4):246.
3 徐庆华,朱广兴,梁慕贞.华支睾吸虫病超声诊断对鉴别诊断的价值.广州医药,2003,34 (2):49-51.
4 Lim JH,Ko YT,Lee DH,et al.Clonorchiasis:Sonogtaphy findings in 59 proved cases.Am J Roentgenol,1989,152(4):761-764.
5 王丽虹,赵成信,王凤英,等.华支睾吸虫病的超声诊断研究.中国医学影像学杂志,2003,11(5):374-376.
6 李康,夏宏伟,崔丽.肝吸虫性胆道梗阻的超声诊断.黑龙江医药,2001,24(3):137.











