宫外孕破裂出血的二维超声诊断及鉴别诊断
来源:岁月联盟
时间:2010-07-14
1 资料与方法
1.1 一般资料 42例均为笔者操作检查的妇产科诊治患者,年龄19~39岁,平均27岁,35例有明确停经史,停经时间39天~3+个月,4例月经周期不规则,无法判断有无停经史。3例因病情危重叙述不清。患者多有突发下腹剧痛,或在持续性下腹痛基础上突然加重,呈撕裂样,伴恶心、呕吐,肛门坠胀及排便感。部分伴有不同程度休克症状,大部分伴有不规则阴道出血。查体:下腹拒按、压痛、反跳痛及轻度腹肌紧张。宫颈抬举样疼痛。35例尿检HCG阳性或弱阳性,2例HCG阴性,5例未做HCG检查。全部病例均做手术病理检查。
1.2 检查方法 采用日立-2000超声诊断仪,腹部探头频率3.5MHz,阴道探头频率7.5MHz。常规先经腹部检查,显示不清或可疑者再经阴道检查。重点观察子宫大小,子宫内膜厚度,宫腔内有无妊娠囊,附件区及盆腔有无包块及液性暗区。并观察肝肾间隙、脾肾间隙及腹腔两侧有无液性暗区。
2 结果
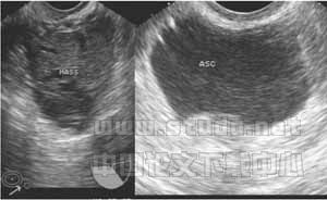
2.1 超声检查声像图特点 (1)子宫多轻度增大,子宫内膜多不同程度增厚,宫内均未见妊娠囊,6例可见壁薄单环状“假妊娠囊”。(2)一侧附件区包块。本组42例均发现左或右侧附件包块,包块最小1?5cm×1.2cm,最大6.5cm×3.2cm。包块均为形态不规则、边界不清楚、回声紊乱的混合回声光团[1],见图1。(3)陶氏窝、包块周围或子宫四周可见多少不一的液性暗区,量多者,肝肾间隙、脾肾间隙及腹腔两侧亦可见不规则液性暗区,暗区中多有密集点状回声,见图1。
2.2 手术及病理结果 42例超声检查的宫外孕破裂出血的病例中,手术后病理结果证实36例为宫外孕破裂,确诊率85.7%(36/42),其中输卵管壶腹部破裂20例,间质部破裂1例,峡部破裂12例,残角子宫妊娠破裂1例,卵巢破裂2例。6例误诊,误诊率14.3%(6/42)。其中2例误诊为黄体破裂,1例误诊为炎性包块;另外,将1例黄体破裂、1例炎性包块、1例卵巢囊肿破裂(为月经期巧克力囊肿破裂)误诊为宫外孕破裂出血。宫外孕及黄体破裂者,盆腔积液均为血凝块或未凝血液,但宫外孕破裂出血量更多,约200~4000ml,>1500ml者均有不同程度休克症状;炎性包块者,盆腔积液内为黄色渗出液,液体量相对较少;巧克力囊肿破裂者,盆腔积液主要为巧克力样陈旧性血液。

3 讨论
3.1 宫外孕破裂出血的声像图 宫外孕发生率占妊娠的0.5%~1%,其中95%为输卵管妊娠[1]。常与输卵管炎、输卵管手术后输卵管不同程度粘连、受精卵移行不畅有关。输卵管妊娠时由于缺乏完整蜕膜,孕卵植入后,其绒毛借蛋白分解酶的作用直接侵蚀管壁肌层,因输卵管管壁薄弱,不能适应受精卵的发育,当受精卵发育到一定程度后,常引起流产或破裂[2]。如本文手术证实的36例宫外孕破裂中,输卵管破裂就有33例,占92%(33/36)。由于输卵管肌层血管丰富,短期内即可大量出血使患者陷入休克。由于破裂口周围形成凝血块或未凝血液,从而超声表现为形态不规整、边界不清楚、回声紊乱的混合性包块,并有盆腔积液,积液中含血细胞形成的密集点状回声。
3.2 鉴别诊断 由于卵巢黄体破裂、卵巢囊肿破裂、盆腔炎性包块临床症状均表现为下腹疼痛,声像图表现为附件的混合性包块及盆腔积液,与宫外孕破裂出血的声像图有许多相似之处,因此不易鉴别,如本组病例误诊率达14.3%。而上述各种疾病的方案是不同的:宫外孕破裂出血一般需要立即手术治疗,否则有生命危险;而黄体破裂、卵巢囊肿破裂由于出血量相对较少,一般可暂时选择保守治疗,观察后根据情况再决定下一步治疗;盆腔炎性包块则大部分通过抗炎治疗即可治愈。因此仔细鉴别上述疾病,才能为临床选择适当的治疗方案提供准确依据,降低宫外孕破裂出血的误诊率和死亡率,同时又可避免一些不必要的手术,减轻对患者的损伤。仔细回顾各误诊病例的临床资料及声像图表现,分析其误诊原因及鉴别诊断如下:(1)一方面由于医生或检查者询问病史不详,另一方面是因为患者病情危重,甚至休克,对停经史及病史叙述不清,甚至个别尿HCG呈假阴性而造成漏诊;有的患者月经周期不规则,而HCG假阳性,误把不规则月经当作早期宫外孕流产阴道出血,腹痛加重时误认为宫外孕破裂;还有患者未做常规妇科检查及尿HCG检验,直接送B超检查,而仅根据超声所见臆断,结果既有漏诊,又有误诊。(2)卵巢黄体破裂一般无盆腔包块,但如于黄体附近形成血凝块,与破裂黄体混合形成包块时,是最不易与宫外孕破裂鉴别的疾病之一,本文其误诊率最高(3/6),特别是与卵巢内异位妊娠破裂不易鉴别。因其声像图均表现为附件区混合性包块,阴道检查则发现包块均位于卵巢内,盆腔液性暗区均有密集点状回声等出血征象。但黄体破裂子宫大小正常,子宫内膜为分泌期内膜,而无蜕膜反应性增厚。其临床资料无停经史,破裂腹痛时多发生于月经中后期,常因腹部重击、性交及妇科检查引起。盆腹腔积液相对较少,而尿或血HCG检查常阴性。(3)附件炎性包块,患者多为持续下腹疼痛,无突然腹痛加重史,多伴较多的黄色白带而非不规则阴道流血,部分伴发热,无明显腹膜刺激征,血象多增高。临床亦无停经史,查尿HCG阴性。超声检查其子宫体积可稍大,肌层回声不均,无子宫内膜增厚。阴道超声检查可发现其盆腔液中有粗细不一的炎性渗出纤维析出性条状光带,而非密集点状回声。(4)卵巢囊肿破裂,患者过去多有囊肿病史,突发剧烈腹痛亦多有重击、性交及妇科检查等诱因。巧克力囊肿则多有痛经病史,由于其囊壁较厚一般不容易破裂,但当月经期出血量多时仍可以破裂。超声检查发现其子宫大小亦多正常,子宫内膜不厚,患者亦无停经史,尿HCG检查阴性。
总之,宫外孕破裂出血是妇产科最常见的急腹症之一。出血量大者,病情特别危急,需要立即做出诊断和鉴别诊断,以便采取适当而有效的治疗措施。对于一个临床主要表现为下腹剧烈疼痛,超声表现为附件或盆腔混合性包块,伴有盆腔甚至腹腔积液的妇科急症患者,检查者应该想到上述疾病。超声声像图注意观察子宫大小、子宫内膜厚度、盆腔积液的内部回声等。并尽可能详细询问月经史、性生活史及临床病史,结合尿或血HCG检查、血常规检查等,进行综合分析判断。随着超声仪技术的,阴道彩色多普勒检查的应用,宫外孕包块内滋养层血流的检测,将更有助于宫外孕破裂的诊断及鉴别诊断[3]。
【】
1 伍启扬,韩晓玲.超声诊断宫外孕破裂出血79例及其漏误诊分析.中华实用中西医杂志,2004,4(17):1957-1958.
2 周永昌,郭万学.超声医学.北京:技术文献出版社,1999,1208-1209.
3 李琦.经阴道彩色多普勒超对异位妊娠的诊断价值.超声诊断杂志,2003,4(8):633-634.
上一篇:华支睾吸虫病的超声诊断价值











