褪黑素及中药复方抗雄性鼠前列腺炎作用的研究
【关键词】 褪黑素(MT);中药复方(CCTM);丙二醛(MDA);一氧化氮(NO);前列腺指数;卵磷脂小体密度;白细胞总数
褪黑素(Melatonin,MT)是松果腺于夜间分泌的、普遍存在于生物体内的一种吲哚类激素,在体内起重要的生理作用[1]。MT具有明显的昼夜节律性及明暗周期。MT对机体有着广泛的影响,具有调节免疫、抗氧化、抗炎、镇痛、镇静、催眠、抗衰老等作用[2],未见其前列腺炎的国内外报道。本实验中药复方(Compound Chinese Traditional Medicine,CCTM)源自金匮肾气丸(古成方),有补肾壮阳之功效。PS指前列腺非特异性感染所致的急性或慢性炎症引起的局部和全身症状,是男性常见病。本实验以褪黑素及中药复方合用对雄性鼠进行口服灌胃给药,通过考察前列腺腺体器官的重量及指数、卵磷脂小体的密度、白细胞总数以及其组织病理切片等实验的检测,对MT及CCTM抗前列腺炎的作用及机制进行分析讨论。
1 实验材料
1.1 实验动物 Wistar大鼠,雄性250g左右,由沈阳药科大学动物室提供。
1.2 实验药品和试剂 熟地黄(Radix Rehmanniae preparata)、黄芪(Radix astragali)、茯苓(Poria)、肉桂(Cortex cinnamomi)、枸杞(Fructus lycii)、山茱萸(Fructus corni)等:购自沈阳同仁堂大药房;褪黑素(melatonin):江苏常州医药技术开发公司;前列康:浙江康恩贝制药股份有限公司(批号:021029-3);角叉菜胶(Carrageenin):美国SIGMA公司。
2 实验方法
2.1 实验模型的建立 角叉菜胶致大鼠实验性非细菌性前列腺炎模型[3~7]。按张氏[8]造模方法,取Wistar雄性大鼠40只,体重250g左右,每鼠分别称重,按体重腹腔注射10%乌拉坦,1ml/100g,待麻醉成功后,剪除下腹部被毛,无菌条件下,于下腹部正中切口,直达腹腔,提起膀胱,暴露前列腺腹叶,以1%灭菌角叉菜胶溶液0.1ml注入腹叶,送复脏器,缝合肌肉、皮肤。将 40只造模大鼠随机分为4组,每组8只,即褪黑素组、褪黑素中药复方组、模型对照组、前列康片对照组,另取8只未造模大鼠作为正常对照组。造模后7天开始给药。模型对照组灌胃给予蒸馏水10ml/kg,实验组灌胃给予褪黑素8.0mg/kg、褪黑素中药复方9.72g/kg;阳性对照组灌胃给予前列康片417mg/kg。每组每日晚5:00灌胃给药一次,空白组不予处理。连续1周,于第8天给药后1h,将各组动物处死,摘取前列腺,取10μl前列腺按摩液,用白细胞稀释液稀释20倍,于显微镜下数白细胞数。另取1滴前列腺液涂片,镜下观察卵磷脂小体密度(按临床检验标准分为4级,即满视野为4级,3/4 视野为3级,1/2视野为2级,1/4视野为1级)。记录结果,用t检验进行统计学处理。
2.2 检测方法
2.2.1 前列腺指数及性腺器官指数的测定[9,10] 大鼠称重,然后处死,取前列腺称重。前列腺指数=前列腺重/体重。
2.2.2 前列腺液的检测[11,12] 用前列腺按摩法采取前列腺液。正常前列腺液为稀簿乳白色液体,镜检:有很多卵磷脂小体,每高倍视野白细胞数在4个以下,偶见精子。前列腺炎时,白细胞或脓细胞每高倍视野4个以上,卵磷脂小体减少,偶可查到滴虫。在显微镜下检查可见以下几种成分:(1)卵磷脂小体:正常前列腺液内卵磷脂小体几乎布满视野,当前列腺发生炎症时,巨噬细胞吞噬大量脂类,故卵磷脂小体减少。因此,卵磷脂小体的多少,在一定程度上反映前列腺炎的轻重。(2)血细胞:正常前列腺液内红细胞极少,往往在炎症时才出现,如按摩过重也引起红细胞数增加;正常前列腺液内白细胞散在,每高倍视野下不超过4个。
2.3 切片的制作[13] 用颈椎脱臼法处死大鼠,立即打开腹腔,摘取前列腺,取部分组织,福尔马林溶液固定,常规石蜡包埋切片(6μm),HE染色后,光镜观察,每组随机取5张切片,每张随机选择5个视野。
2.4 数据处理 数据采用均数±标准差(x±s)表示,组间比较采用t检验进行统计学处理。
3 结果
3.1 MT、MT中药复方对角叉菜胶所致实验性非细菌性前列腺炎大鼠前列腺重量及指数的影响 见表1。MT组、MT中药复方组及前列康组大鼠的前列腺组织的重量和指数与模型组比较差异有显著性(P<0.01),模型组与空白组相比差异有显著性(P<0.01)。MT组与模型组比较差异不明显。提示:实验性非细菌性前列腺炎大鼠模型成立,MT、MT中药复方及前列康对实验性非细菌性前列腺炎大鼠的炎症有一定的抑制作用。
Tab.1 Effects of MT、MT+CCTM on abacterial prostatitis induced by carrageenin in rats (x±s)

Annotation:Compared with control group:▲▲P<0.01;Compared with model group:*P<0.05;**P<0.01
3.2 MT、MT中药复方对角叉菜胶所致实验性非细菌性前列腺炎大鼠卵磷脂小体密度及白细胞总数的影响 见表2。MT组、MT中药复方组及模型组大鼠的前列腺组织的卵磷脂小体密度与模型组比较差异有显著性,前列康组、MT中药复方组与模型组相比差异有显著性(P<0.01)。MT组与模型组比较差异不明显。MT组、MT中药复方组及前列康组大鼠的前列腺液的白细胞总数(个/HP)与模型组比较均有差异。MT中药复方组及前列康组差异显著(P<0.01)。提示:MT对角叉菜胶所致实验性非细菌性前列腺炎大鼠的前列腺炎有一定的抑制作用,MT中药复方及前列康的作用较MT中药复方低剂量显著。
Tab.2.Effects of MT+CCTM on abacterial prostatitis induced by carrageenin in rats (x±s)

Annotation:Compared with control group:▲▲P<0.01;Compared with model group:*P<0.05;**P<0.01
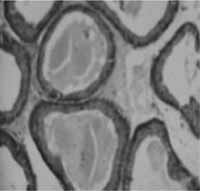
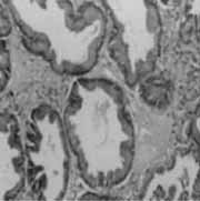
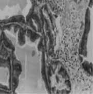
3.3 MT、MT中药复方对角叉菜胶所致前列腺炎大鼠前列腺腺体组织结构的影响(病理切片) 病理报告示:(1)正常对照组:间质内未见炎性细胞及其他异常现象(图1);(2)MT中药复方组:腺泡间质偶见炎性细胞,腺泡排列大小均未见异常(图2);(3)MT组:腺泡间质中可见炎性细胞浸润,结缔组织增生,轻度水肿(图3);(4)模型组:前列腺间质内可见多数炎性细胞浸润,腺上皮可见乳头状增生,结缔组织增生(图4);(5)前列康组:有的腺泡间质内可见炎性细胞,间质疏松,呈水肿状,有的前列腺组织结构基本正常(图5)。

图1 前列腺炎症实验空白对照组

图2 前列腺炎症实验MT+CCTM组

图3 前列腺炎症实验MT组

图4 前列腺炎症实验模型组

图5 前列腺炎症实验前列康组
4 结论
角叉菜胶致大鼠前列腺炎模型成立;MT中药复方、前列康对角叉菜胶致大鼠前列腺炎有明显的抑制作用,MT组对角叉菜胶致大鼠前列腺炎有一定的作用。
褪黑素及中药复方能显著抑制雄性PS模型鼠的炎症,减轻其炎性水肿引起的前列腺腺泡间质水肿、炎性细胞的浸润、结缔组织增生。
5 讨论
MT中药复方的抗前列腺炎作用。常见的前列腺炎动物模型基本为慢性炎症,有以下几种:角叉菜胶致大鼠前列腺炎模型、蛋清致大鼠前列腺炎模型、大肠杆菌致大鼠前列腺炎模型等。在前期实验中发现角叉菜胶致大鼠前列腺炎模型比较典型,因此本实验选用角叉菜胶作为模型的诱发剂。
自由基代谢紊乱与细胞损伤程度关系密切[14]。它是通过脂质过氧化作用使细胞膜受损,LPO水平的增高,还能通过脂质氢化过氧物的分解产物引起细胞损伤。SOD是一种超氧化自由基清除剂,通过一种连锁反应是超氧自由基歧化为H2O2,而后者在过氧化氢酶的作用下,生成无毒的H2O。
刘小平实验显示[15],CBP、CNP患者血清中MDA高于健康对照组,SOD活力低于健康对照组,这可能与炎症的长期慢性持续的刺激有关。氧自由基自始至终参与前列腺炎的发生,促进前列腺导管水肿、变性、纤维化,使慢性前列腺炎症症状持续存在。SOD活力下降可使RBC膜变形能力下降,影响运输氧的功能,导致局部循环障碍,促进或加重前列腺局部淤血、缺氧、水肿。
本文用角叉菜胶制造了大鼠实验性非细菌性前列腺炎模型,其他炎症有用二甲苯制造小鼠急性渗出性炎症模型,用棉球制造小鼠慢性增生性炎症模型,用蛋清制造大鼠急性渗出性炎症模型。近年来的国内外报道中未见褪黑素抗前列腺炎的研究,但有其抗炎作用的相关报道。由本实验结果可见,褪黑素及褪黑素+中药复方可显著提高前列腺液中卵磷脂小体密度,降低白细胞数量,改善腺腔大小不一,减轻腔内炎细胞浸润、间质炎细胞浸润及间质水肿的程度,但褪黑素+中药复方对雄性大鼠前列腺炎的作用比单用褪黑素效果显著。实验表明,褪黑素+中药复方有一定的抗前列腺炎作用,这可能主要与其抗自由基作用有关。
综上所述,褪黑素(Melatonin,MT)及中药复方通过清除自由基、补肾壮阳、抗衰老、增强免疫功能等方面的机制,起到抗前列腺炎的作用,并为今后进一步的药研究提供理论依据。
【】
1 魏伟,徐叔云.褪黑素的神经内分泌免疫作用及其应用前景.药理学通报,1997,13(3):196-200.
2 刘雪莉,付新录,钱伯初.褪黑素抗前列腺增生及前列腺肿瘤的研究进展.中国药理学通报,2002,18(5):490-493.
3 唐凤珍,候惠茹,张景云,等.大鼠前列腺炎模型的制备方法.中国药理学通报,1998,14(2):187-188.
4 孙蓉,陈明,吕丽莉,等.前列泰颗粒对大鼠慢性前列腺炎模型的抗炎作用研究.中药药理与临床,2001,17(6):42-44.
5 戴岳,张聪,林巳茏,等.黄芩总苷对大鼠急慢性前列腺炎影响的实验研究.中医药学刊,2003,21(3):386-387.
6 崔祝梅,黄正良,任远,等.前列泰片对前列腺增生及其抗炎镇痛作用的实验研究.中成药,1994,16(4):38-40.
7 王飞,杨奎,蒲旭峰,等.加味三妙胶囊对实验性前列腺炎大鼠血液流变学的影响.新疆中医药,2003,21(2):7-9.
8 张亚强.中药前列腺汤对实验性前列腺炎病理模型的影响.中西医结合杂志,1991,11(8):480.
9 郇宜俊,钟奋志,郭永成,等.首丹王栓治疗慢性前列腺炎的药效学研究.山东中医药大学学报,2002,26(3):227-229.
10 陈奇.中药药理研究方法学.北京:人民卫生出版社,1993,84.
11 唐凤珍,候惠茹,张景云,等.大鼠前列腺炎模型的制备方法.中国药理学通报,1998,14(2):187-188.
12 孙蓉,陈明,吕丽莉,等.前列泰颗粒对大鼠慢性前列腺炎模型的抗炎作用研究.中药药理与临床,2001,17(6):42-44.
13 戴岳,张聪,林巳茏,等.黄芩总苷对大鼠急慢性前列腺炎影响的实验研究.中医药学刊,2003,21(3):386-387.
14 Scringer MD,Gorog PG,Freeman A.Lipid pexoxides and atherosclerosis.Br Med J,1989,289:281-284.
15 刘小平,邓岩.氧自由基在前列腺炎发病中的作用.中国男杂志,2001,15(4):264-265.











